Caso Número 4/2018: “Uma sessão interativa de casos em radiologia torácica – Parte 1”
DOI:
https://doi.org/10.32963/bcmufsc.v4i6.2943Resumo
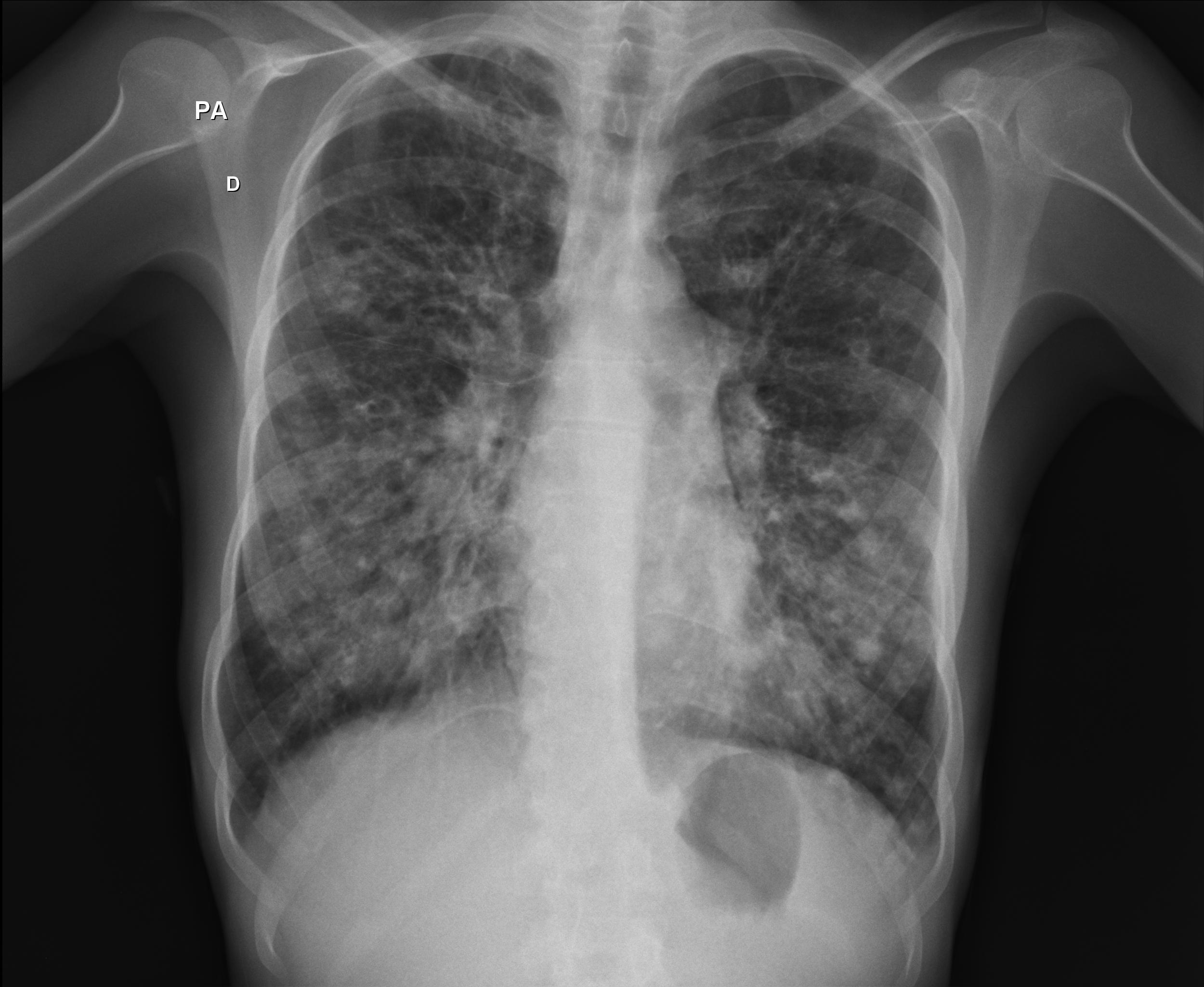
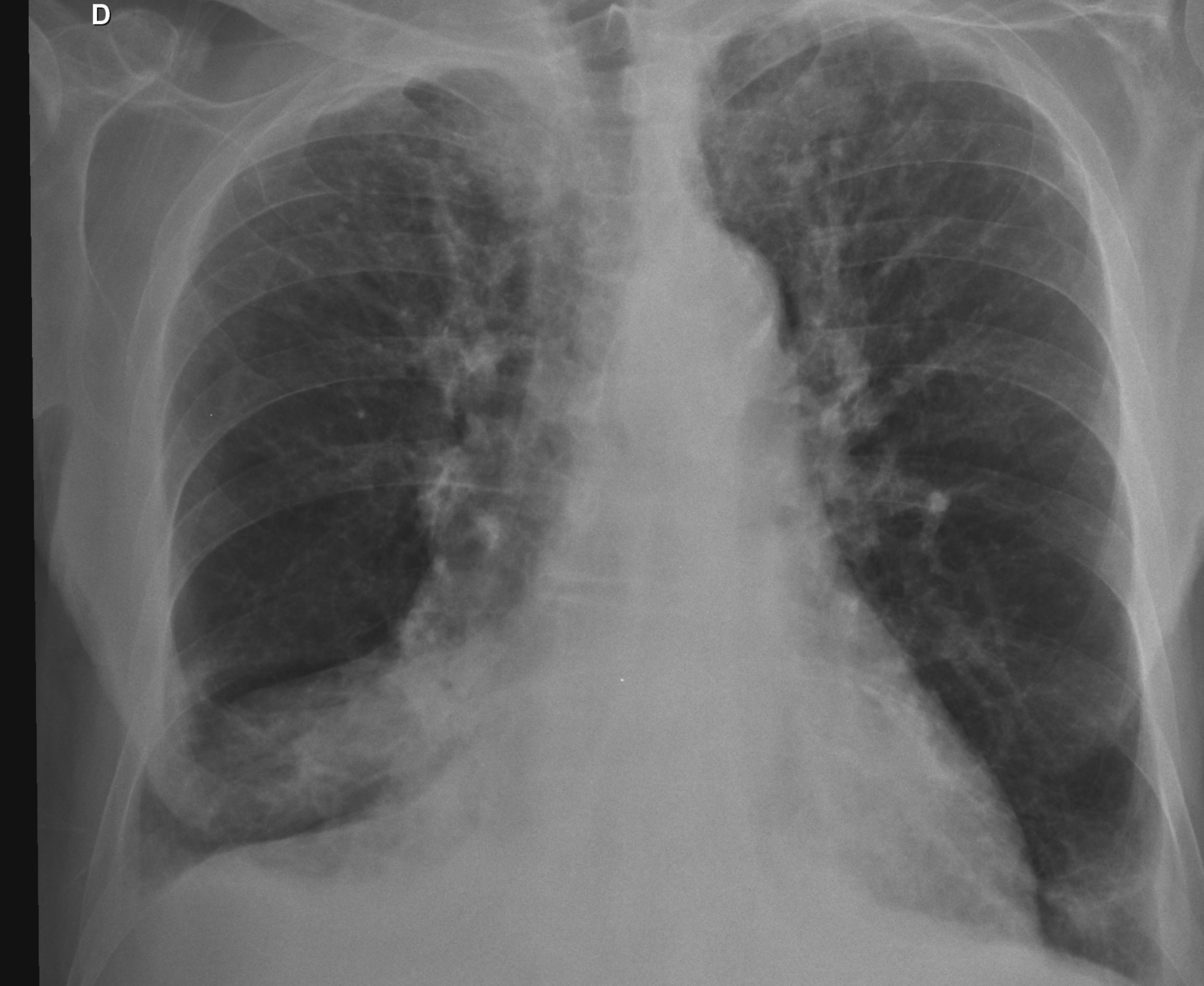
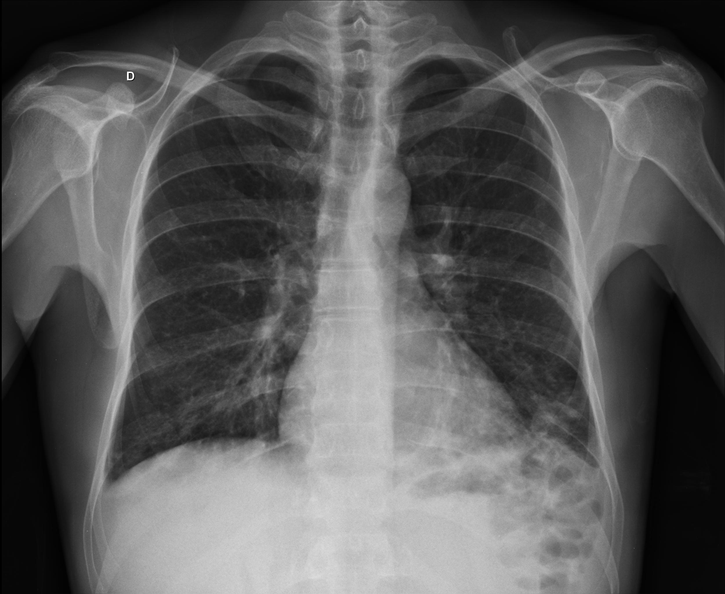
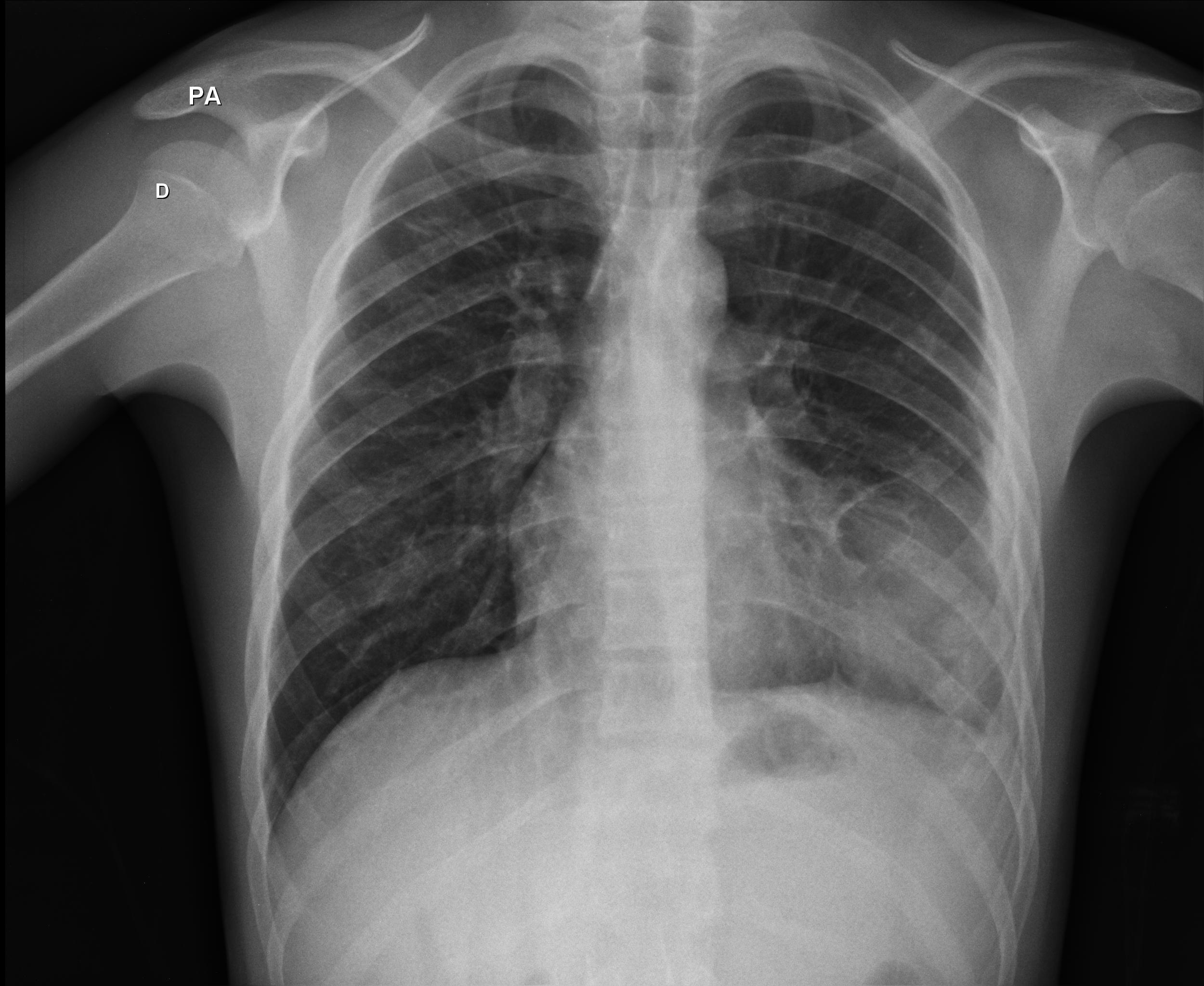
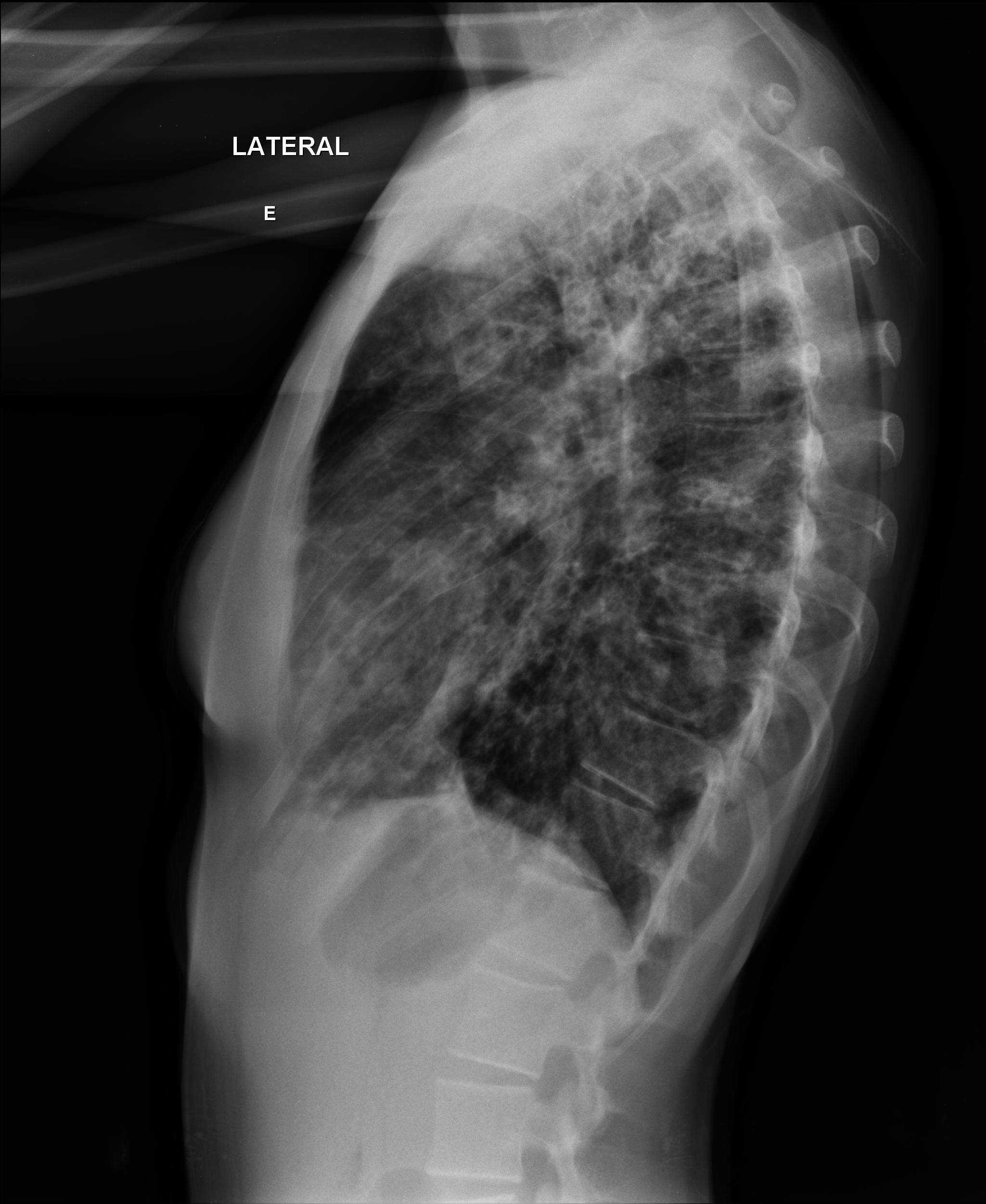
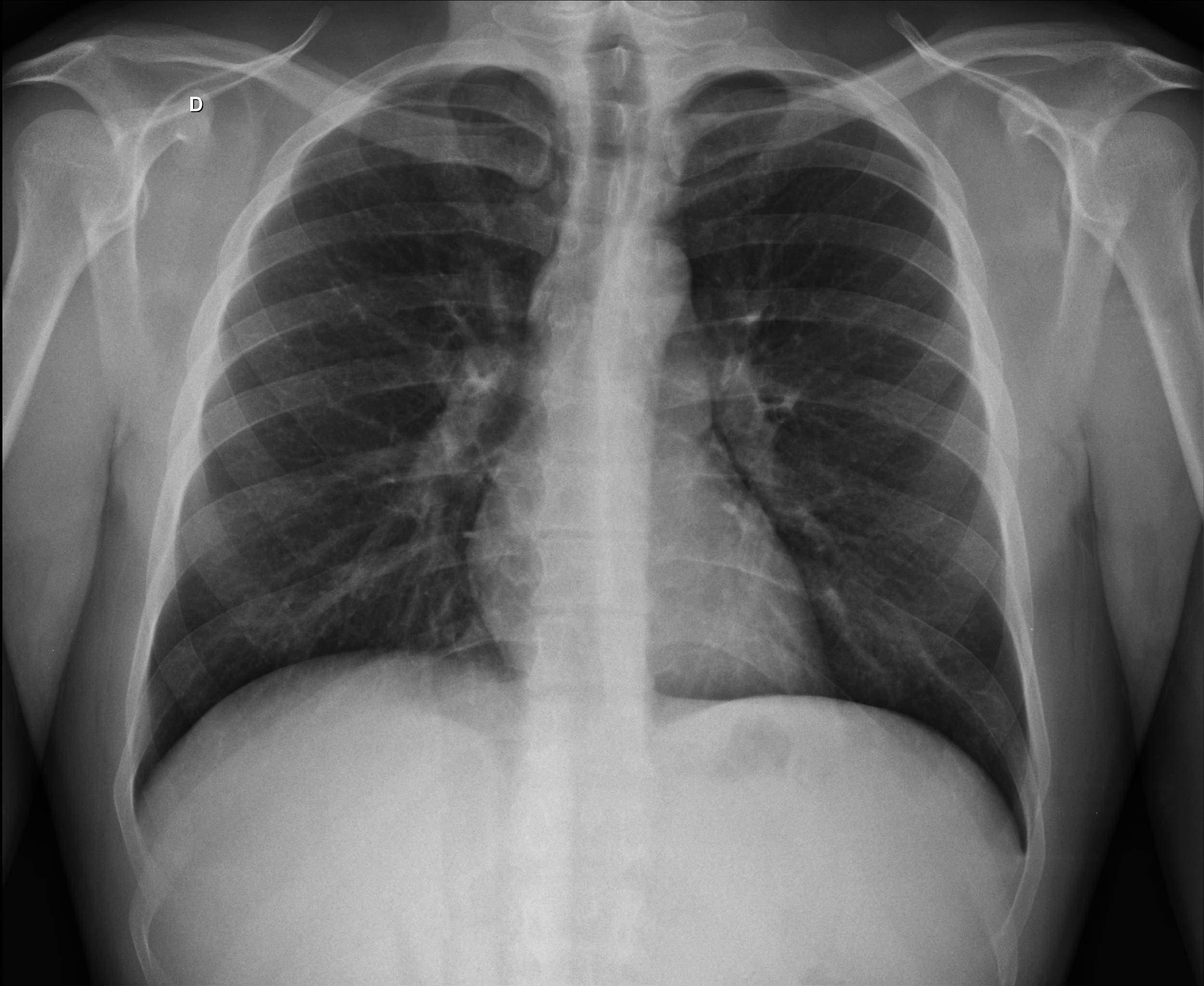
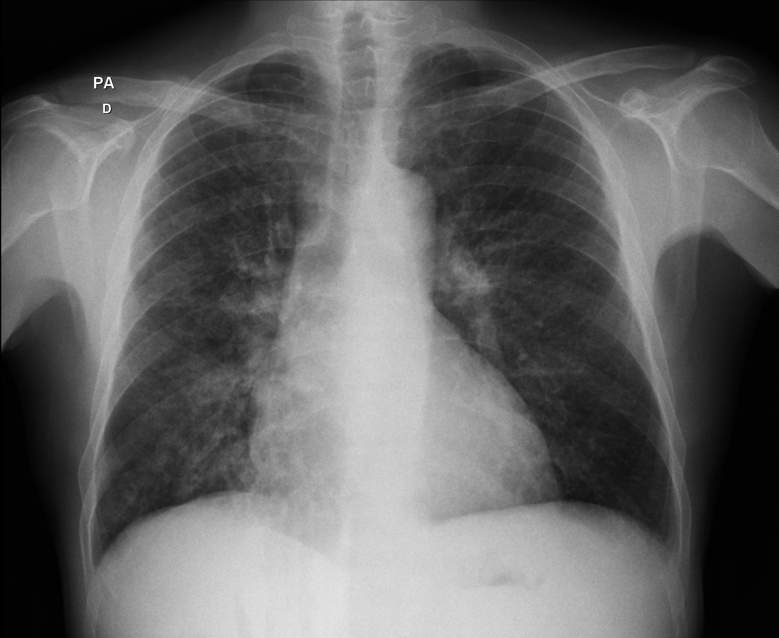
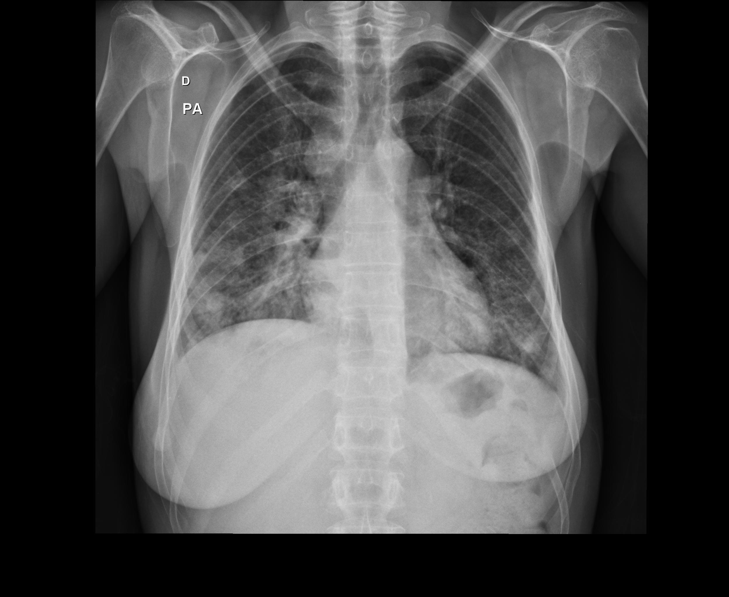
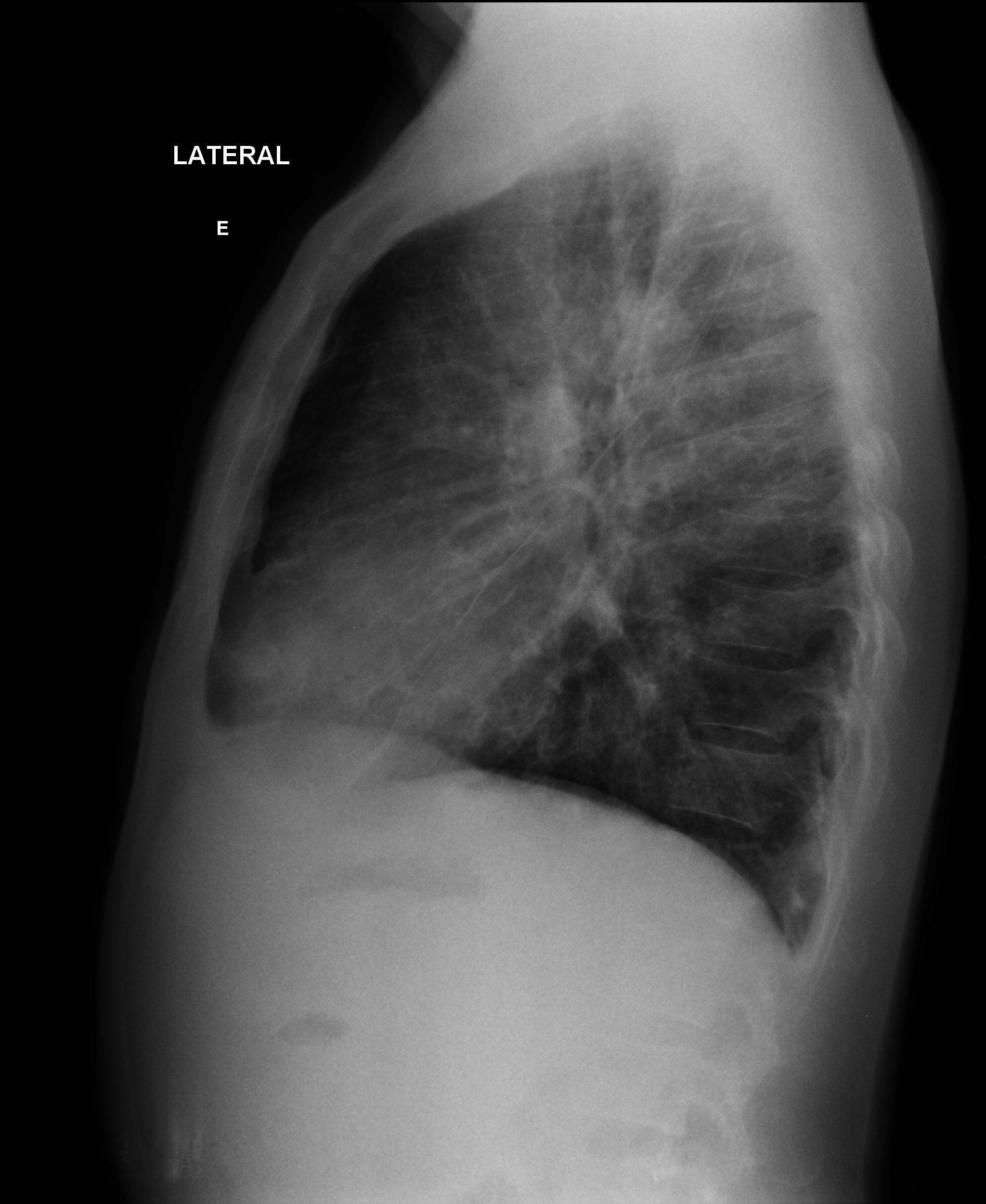
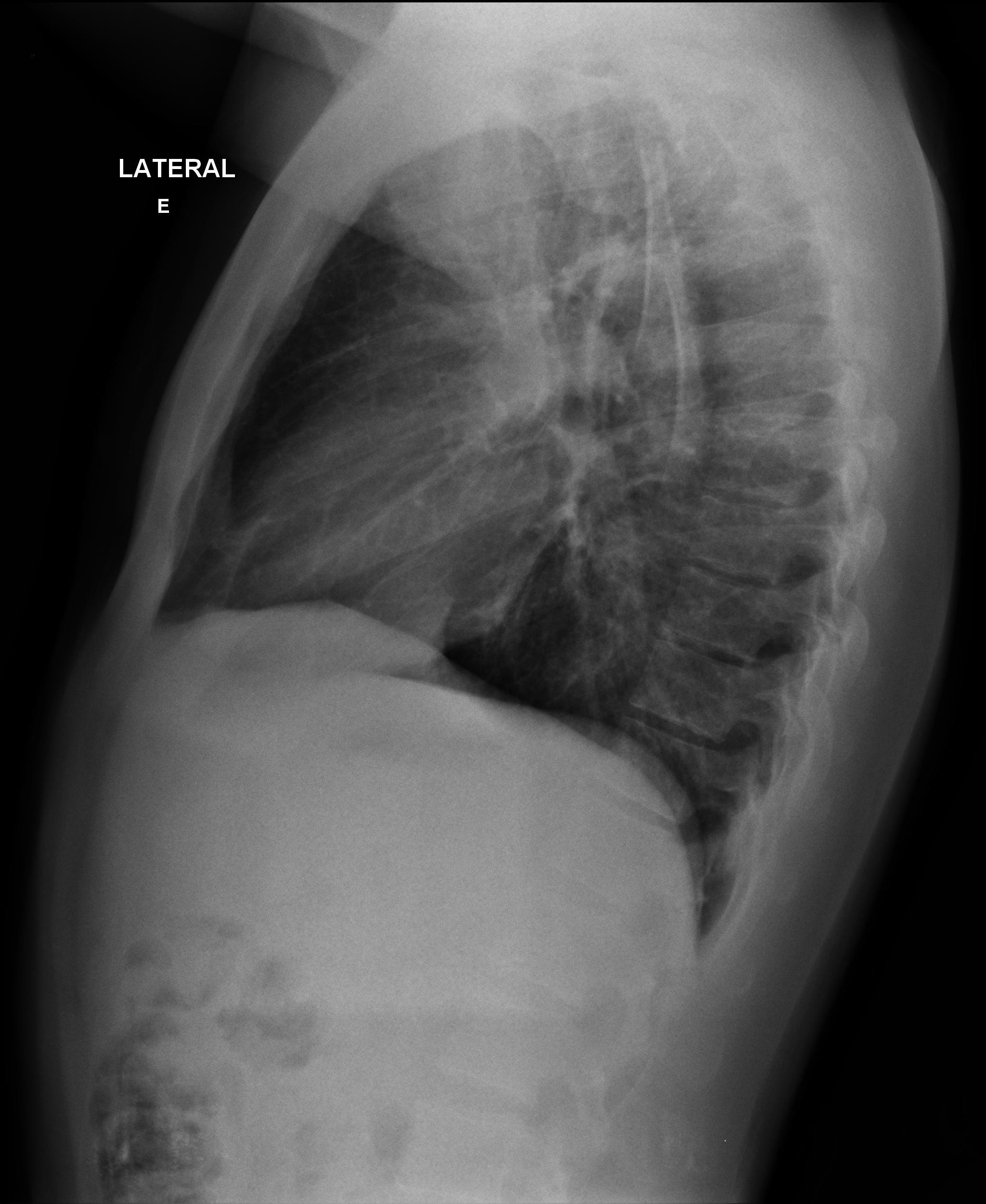
Caso relatado na Reunião de Discussão de Casos Clínicos do Hospital Universitário Prof. Polydoro Ernani de São Thiago, iniciada pelos Profs. Jorge Dias de Matos, Marisa Helena César Coral e Rosemeri Maurici da Silva, em julho de 2017. No dia 14 de junho de 2018, no auditório do HUPEST, realizou-se a apresentação e discussão do caso cujo registro é apresentado a seguir. Trata-se da discussão de onze casos em radiologia torácia, de forma interativa com a plateia, e assim ocorre também neste artigo.
Downloads
Arquivos adicionais
Publicado
2018-06-27
Edição
Seção
Relatos de Casos do Hospital Universitário Prof. Polydoro Ernani de São Thiago
Licença
Autores que publicam nesta revista concordam com os seguintes termos:- Autores mantém os direitos autorais e concedem à revista o direito de primeira publicação, com o trabalho simultaneamente licenciado sob a Licença Creative Commons Attribution que permite o compartilhamento do trabalho com reconhecimento da autoria e publicação inicial nesta revista.
- Autores têm autorização para assumir contratos adicionais separadamente, para distribuição não-exclusiva da versão do trabalho publicada nesta revista (ex.: publicar em repositório institucional ou como capítulo de livro), com reconhecimento de autoria e publicação inicial nesta revista.
- Autores têm permissão e são estimulados a publicar e distribuir seu trabalho online (ex.: em repositórios institucionais ou na sua página pessoal) a qualquer ponto antes ou durante o processo editorial, já que isso pode gerar alterações produtivas, bem como aumentar o impacto e a citação do trabalho publicado (Veja O Efeito do Acesso Livre).